Can Bacteria in the Gut Inhabit the Brain Also?
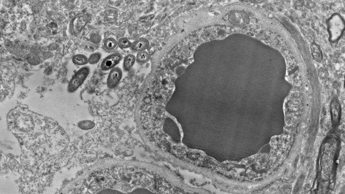
Images of human brain slices revealing bacteria (Image Source: Science Magazine)
Bacterial flora inside our gut has a powerful effect on health. But can the bacteria residing in our gut travel up to the brain and inhabit the cells there? This question was taken up in the recent annual meeting of the Society for Neuroscience where a poster showed the images of bacteria apparently making their way into the brain and inhabiting the cells. The images were taken by high resolution microscopy in the lab of Rosalinda Roberts of University of Alabama in Birmingham (UAB).
The finding is still at a preliminary level and the researchers haven’t ruled out the possibility of contamination in the brain tissue samples they performed their research on. Yet, the finding, if true, has the potential to open up a whole new frame of research of brain micro biome. Neuroscientist Ronald McGregor of University of California, Los Angeles, commented, “It’s like a whole new molecular factory [in the brain] with its own needs. … This is mind-blowing”.
The brain has evolved to be a nicely protected environment where it is cut off from the contents of the bloodstream by a network of various kinds of cells known as the blood-brain barrier. There are bacteria and viruses that can evade the blood brain barrier and attack the brain cells. Some of these pathogens even cause life-threatening inflammation. We all know the severity of Meningitis, wherein the disease-causing bacteria or virus can evade the blood–brain barrier and affect the meninges, the protective cover in the brain.
Research done previously has shown that bacteria living in the gut can affect mood and behaviour and also some neurological diseases. Again, a disruption in the balance of gut flora increases the production of a rogue protein that may have a relation in developing Parkinson’s disease.
HOW ROSALINDA ROBERTS’ LAB FIND GUT BACTERIA IN THE BRAIN
Roberts’ lab looks for the differences between the brains of healthy people and those with schizophrenia by examining the slices of the brains prepared and preserved within hours of death. Their team found some rod-shaped objects in the brain slices. They took the help of bacteriologist from UAB itself, and to their utter surprise, a bacteriologist declared that those rod-shaped objects were nothing but bacteria. Roberts’ lab has now found bacteria in every brain that they have checked-34 in total, which consist both healthy brain and those with schizophrenia.
The RNA sequencing of the bacteria they found in their brain slices revealed that most of them belong to the phyla that are common to the gut. These are the Firmicutes, Proteobacteria and Bacteroidetes. The team, as of now, is not quite sure whether these bacteria in the brain are harmful or helpful—finding them in both healthy and schizophrenic brains have made it difficult.
In their electron micrograph images, Roberts’ team could also found the preference of the bacteria present in the brain. They prefer to inhabit the astrocytes, the star shaped cells that support neurons in their function. Particularly the microbes tend to cluster towards the ends of the astrocytes, the area that encircles blood vessels at the blood brain barrier. They also found that the bacteria appear to be more abundant in the myelin sheath area. The myelin sheath is the fat rich covering in the axon, the long projections of a neuron through which neuronal signals are passed. Roberts’ team, as of now, couldn’t explain the preferences. One reason, according to them, for these preferences could be the availability of sugar and fat in these cells.
ISSUES TO SORT OUT IN FUTURE
The pressing issue that needs utmost attention is the possibility of contamination in the brain slices. At the time of extraction of the brain contamination from the surgical instrument, if any, would show up in the microscopy. Moreover, the solutions that are used to preserve the brain slices can also introduce and nourish bacteria. Roberts plans to sort out these issues in her further research.
Get the latest reports & analysis with people's perspective on Protests, movements & deep analytical videos, discussions of the current affairs in your Telegram app. Subscribe to NewsClick's Telegram channel & get Real-Time updates on stories, as they get published on our website.
